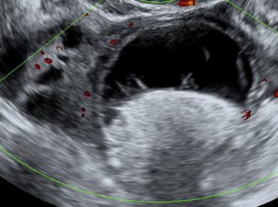
Synes du denne cysten ser veldig skummel ut? Mange fjerner slike cyster "for sikkerhets skyld" og fjerner mye frisk vev, fordi de er usikker hva de har med å gjøre. IOTA-klassifikasjonen kan hjelpe å ta gode kliniske avgjørelser- men du må være trygg og sertifisert før du begynner å bruke den.
Mange tror også at det er umulig å se peritoneal endometriose, adenomyose eller andre forandringer i bekkenet. Men det stemmer absolutt ikke!
Du kan lære alt dette på kurs- og gruppen i Malmö er ikke bare svært erfaren, men de er også ekstrem flinke til å formidle kunnskap og vise små tips og triks som løfter kunnskapen din på helt helt ny nivå!
Kurset er IOTA og ISUOG-sertifisert, et høyre kvalitets-sertifikat finnes ikke i ultralyd-verden.
Programmet til nedlasting finner du her. Detailjert informasjon (påmelding, hotel etc) ligger også i kurskalenderen.
Det er begrenset antall plasser, veldig lurt å melde seg på raskt.
Advanced course in gynecological ultrasound, Malmoe, Sweden
9 – 13th April, 2018
Venue: Medicinskt Konferenscentrum Malmoe,
Jan Waldenströms gata 5, Malmoe
Monday, 9th of April
Ultrasound technique
9.00 – 10.00 Registration, coffee
10.00 – 10.15 Introduction Lil Valentin
10.15 – 10.45 Diagnostic test Lil Valentin
10.45 – 11.00 ISUOG information Ligita Jokubkiene
11.00 – 12.00 Ultrasound physics: gray scale Per-Åke Olofsson
12.00 – 13.00 Lunch
13.00 – 13.30 Ultrasound physics: Doppler Per-Åke Olofsson
13.30 – 14.00 Pitfalls with Doppler. 3D ultrasound Ligita Jokubkiene
14.00 – 14.40 Examination technique and optimizing the image Lil Valentin
14.40 – 15.00 Coffee
15.00 – 15.30 Live scan Lil Valentin
15.30 – 16.10 Artefacts Sören Torp-Pedersen
16.10 – 16.45 Ultrasound safety Ragnar Sande
17.00 - Get together (buffet)
Tuesday, 10th of April
Adnexal masses
8.30 - 8.45 Summary of yesterday Ligita Jokubkiene
8.45 – 9.45 Pattern recognition for diagnosing adnexal pathology. Lil Valentin
09.45 – 10.15 Coffee
10.15 – 11.15 Presentation of the IOTA studies Lil Valentin
11.15 – 11.45 IOTA terminology Lil Valentin
11.45 – 12.00 IOTA easy descriptors Lil Valentin
12.00 – 13.00 Lunch
13.00 – 14.00 Practising simple rules in classifying adnexal masses Lil Valentin
14.00 – 14.15 Paus
14.15 – 15.00 How to scan a patient with ovarian malignancy Mikael Zikan
15.00 – 15.30 Coffee
15.30 – 16.00 Live scan Mikal Zikan
16.00 – 16.45 Management of incidental findings of adnexal lesions Lil Valentin
16.45 -17.15 Ultrasound examination of patients with cervical cancer Michael Zikan
17.15 – 18.15 Continued training for Simple Rules if necessary, case presentations and just images Lil Valentin, Ligita Jokubkiene, Povilas Sladkevicius, Mikal Zikan
Bruk dette skjema til påmelding.
